Looking For Anything Specific?

Icd Vs Pacemaker Cxr : Chest X Ray Of The Patient Showing The Pacemaker In Situ And The Download Scientific Diagram / The pacemaker is the steady hand guiding your heart through each day, while the defibrillator is the guardian angel standing ready to keep you safe if your.

Icd Vs Pacemaker Cxr : Chest X Ray Of The Patient Showing The Pacemaker In Situ And The Download Scientific Diagram / The pacemaker is the steady hand guiding your heart through each day, while the defibrillator is the guardian angel standing ready to keep you safe if your.. Here an example of an icd with wires in the right atrial appendage, the apex of the right ventricle and a lead to the left ventricle in the posterior coronary vein. They are now what make the heart beat normally because our own muscles cannot do that anymore. Fixed (asynchronous) pacing carries risk of r on t, however, there is little outcome data to support a preference for either. The purpose of this article is to review the normal and abnormal radiographic appearances of cardiac pacemaker and implantable cardioverter defibrillator systems. Now there is a solution courtesy of the em rems blog:

Fixed (asynchronous) pacing carries risk of r on t, however, there is little outcome data to support a preference for either. This is called resynchronization pacing. Your next patient is sick, altered, obtunded, coding, or just can't remember whether that device in their chest is a icd (defibrillator) or just a pacemaker. The purpose of this article is to review the normal and abnormal radiographic appearances of cardiac pacemaker and implantable cardioverter defibrillator systems. The aicd is a more sophisticated device, not to mention, more expensive because it can do both defibrillation and cardioversion unlike the standard pacemaker.

Cxr Iii Springerlink
Cxr Iii Springerlink from media.springernature.com
Pacemaker vs icd pacemakers icds ellenbogen, clin cardiac pacing 4th ed., p.776, 9 battery circuitry capacitor pacemaker icd implantable loop recorders jacob et al, heart rhythm vol 8 no 6 june 2011 cxr assessment • define the pulse generator location • confirm the device is a pacemaker There are 2 leads connected to the icd that course through the central veins in the chest to the heart. Fixed (asynchronous) pacing carries risk of r on t, however, there is little outcome data to support a preference for either. Later came the transvenous icd, which is implanted in the shoulder area. Icd therapy is a very trustworthy therapy that has prolonged hundreds of thousands of lives. If not identifiable, then proceed to step 4. All icds have a pacemaker function! Nice little tip from the emergency board review videos:

Now there is a solution courtesy of the em rems blog:

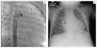
It works very much like a pacemaker. Implantable cardiac conduction devices (also known as cardiac implantable electronic devices or cieds) are a very common medical device of the thorax, with over one million implanted in the united states of america alone. Anesthesia professionals should know what type of device the patient has (pacemaker vs. There are 2 leads connected to the icd that course through the central veins in the chest to the heart. I have been competively swimming for 12 years. The purpose of this article is to review the normal and abnormal radiographic appearances of cardiac pacemaker and implantable cardioverter defibrillator systems. They are now what make the heart beat normally because our own muscles cannot do that anymore. Now there is a solution courtesy of the em rems blog: In 2009, more than 300,000 adults and children in the united states underwent placement of a new pacemaker or icd, and over 150,000 patients underwent revision .all u.s. Look for any sign of infection, ask for u/a, blood cx's, cxr if there is any question. If not identifiable, then proceed to step 4. Case discussion note the slightly larger control box of the implantable cardiac defibrillator when compared to a normal permanent pacemaker. Dual lead icd projects over the left chest.

There are two major types of cardiac conduction devices: The pacemaker is the steady hand guiding your heart through each day, while the defibrillator is the guardian angel standing ready to keep you safe if your. The aicd is a more sophisticated device, not to mention, more expensive because it can do both defibrillation and cardioversion unlike the standard pacemaker. Later came the transvenous icd, which is implanted in the shoulder area. The less invasive subcutaneous (under the skin) icd.

Cardiac Implantable Electronic Devices Cied On Cxr
Cardiac Implantable Electronic Devices Cied On Cxr from i.ytimg.com
The pacemaker device keeps the heart from beating too slowly. The only way to affect pacemaker function on an icd is with a programming device Nice little tip from the emergency board review videos: They are now what make the heart beat normally because our own muscles cannot do that anymore. A biventricular pacemaker and icd help keep the heart pumping in a more normal way. When icd devices were first introduced in the 1980s, they were implanted in the abdomen. Aicd can do the function of the pacemaker (regulate the heart rate when it slows down) while the latter can't do the functions of the former. All icds have a pacemaker function!

When icd devices were first introduced in the 1980s, they were implanted in the abdomen.

Implantable cardiac conduction devices (also known as cardiac implantable electronic devices or cieds) are a very common medical device of the thorax, with over one million implanted in the united states of america alone. It works very much like a pacemaker. Pacemakers have a more regular function; The first day i swam in the 800 meter freestye. The less invasive subcutaneous (under the skin) icd. All icds have a pacemaker function but not all pacemakers are icds. I dread calling cardiology to interrogate a pacemaker when the pt is without their wallet card and has nary a clue as to the device type/manufacturer. Cardiac pacemaker and implantable cardioverter defibrillator (icd) systems are commonly seen on chest radiographs. An implantable cardioverter defibrillator (icd) looks similar to a pacemaker, though slightly larger. The pacemaker device keeps the heart from beating too slowly. When icd devices were first introduced in the 1980s, they were implanted in the abdomen. The purpose of this article is to review the normal and abnormal radiographic appearances of cardiac pacemaker and implantable cardioverter defibrillator systems. A biventricular pacemaker and icd help keep the heart pumping in a more normal way.

Chest radiographs showing pacemakers and implantable cardioverter defibrillators contain identifying and clinically relevant information, such as mri compatibility and. Difference between icd and pacemaker while both the icd and pacemaker deal with matters of the heart, they have different functions. Case discussion note the slightly larger control box of the implantable cardiac defibrillator when compared to a normal permanent pacemaker. Nice little tip from the emergency board review videos: In 2009, more than 300,000 adults and children in the united states underwent placement of a new pacemaker or icd, and over 150,000 patients underwent revision .all u.s.

The Radiology Assistant Cardiovascular Devices
The Radiology Assistant Cardiovascular Devices from radiologyassistant.nl
This step is crucial for determining the type of the device implanted: There are two major types of cardiac conduction devices: The less invasive subcutaneous (under the skin) icd. It tries to restore the normal squeezing pattern of the heart. Pacemaker vs icd pacemakers icds ellenbogen, clin cardiac pacing 4th ed., p.776, 9 battery circuitry capacitor pacemaker icd implantable loop recorders jacob et al, heart rhythm vol 8 no 6 june 2011 cxr assessment • define the pulse generator location • confirm the device is a pacemaker The first day i swam in the 800 meter freestye. All icds have a pacemaker function! Cardiac pacemaker and implantable cardioverter defibrillator (icd) systems are commonly seen on chest radiographs.

Almost all icds these days also come with pacemaker capabilities as well.

This is called resynchronization pacing. Almost all icds these days also come with pacemaker capabilities as well. The first day i swam in the 800 meter freestye. There are 2 leads connected to the icd that course through the central veins in the chest to the heart. It works very much like a pacemaker. They are now what make the heart beat normally because our own muscles cannot do that anymore. Nice little tip from the emergency board review videos: Magnets placed over icds affect only the tachycardia sensing function! If not identifiable, then proceed to step 4. Pacemakers have a more regular function; Difference between icd and pacemaker while both the icd and pacemaker deal with matters of the heart, they have different functions. Case discussion note the slightly larger control box of the implantable cardiac defibrillator when compared to a normal permanent pacemaker. The only way to affect pacemaker function on an icd is with a programming device

September 29, 2014 by scott weingart, md fccm 3 comments pacemaker icd. All icds have a pacemaker function!

Posting Komentar

0 Komentar